В саратовском мясе обнаружены финноз и эхинококкоз
8 июля 2014, 12:37

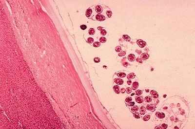
С начала этого года в Саратовской области проведено более 1,28 млн. исследований продовольственного сырья и пищевой продукции. В мясе было выявлено 7 случаев финноза и 938 случаев эхинококкоза, сообщает сегодня управление ветеринарии правительства региона.
"По результатам проверки не допущено к реализации 42,4 тонны непригодного в пищу мяса и мясопродуктов, овощей и фруктов – 11,6 тонны, молочной продукции – 4,4 тонны, рыбы – 1,1 тонны и около 0,2 тонны других пищевых продуктов. Вся опасная продукция изъята из реализации, обезврежена или утилизирована", - отмечает пресс-служба ведомства.
Подпишитесь на канал "ИА "Взгляд-инфо". Новости Саратова" в MAX
Подпишитесь на телеграм-канал "ИА "Взгляд-инфо". Вне формата": заходите - будет интересно
Вы можете прислать сообщения, фото и видео в наш телеграм-бот @Vz_feedbot
Рекомендуемые материалы
Главные новости
Стали свидетелем интересного события?
Поделитесь с нами новостью, фото или видео в мессенджерах:
или свяжитесь по телефону или почте




