В Балакове Саратовской области применили уникальный метод лечения хронических гематом мозга. Об этом сообщает местная городская клиническая больница.
В четверг врачи нейрохирургического отделения провели операцию хронических субдуральных гематом, которая позволила избежать трепанации черепа.
"Хроническая субдуральная гематома - это инкапсулированное кровоизлияние под твердой мозговой оболочкой, которое, постепенно увеличиваясь в объеме, сдавливает головной мозг. Ее рост часто обусловлен поступлением жидкости через богатую сосудистую сеть, формирующуюся в капсуле гематомы и питаемую средней оболочечной артерией", - говорится в сообщении.
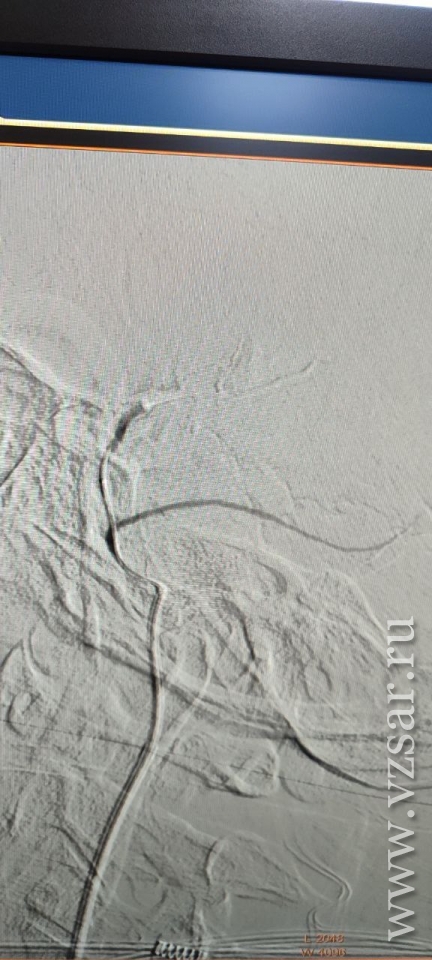
Суть новой эндоваскулярной методики заключается в прицельной внутрисосудистой закупорке этой артерии, что прекращает питание капсулы гематомы и способствует ее постепенному рассасыванию, не влияя на кровоснабжение головного мозга.
Первым пациентом стал 39-летний мужчина, поступивший в нейрохирургическое отделение 18 декабря, через 12 суток после получения тяжелой черепно-мозговой травмы.
Обследование показало очаги контузии обоих полушарий и небольшого объема гематому слева, которая смещала структуру мозга.
Медики успешно выполнила эндоваскулярную эмболизацию средней оболочечной артерии слева микрочастицами. Уже через 4 суток исследование показало значительное уменьшение гематомы - на 20%, а смещение мозга уменьшилось вдвое.
"Внедрение данной методики расширяет возможности малоинвазивных эндоваскулярных вмешательств не только при хронических гематомах, но и при острых ЧМТ с повреждением данной артерии", - говорится в сообщении.
Подпишитесь на канал "ИА "Взгляд-инфо". Новости Саратова" в MAX
Подпишитесь на телеграм-канал "ИА "Взгляд-инфо". Вне формата": заходите - будет интересно
Вы можете прислать сообщения, фото и видео в наш телеграм-бот @Vz_feedbot
Рекомендуемые материалы
Главные новости
Стали свидетелем интересного события?
Поделитесь с нами новостью, фото или видео в мессенджерах:
или свяжитесь по телефону или почте








