В Саратовской области микоплазменная пневмония охватила и здоровые слои населения
5 декабря 2024, 15:20
За неделю в Саратовской области сложилась положительная динамика заболеваемости ОРВИ, сообщил сегодня на брифинге министр здравоохранения Денис Грайфер.
Было зарегистрировано 13 943 случаев ОРВИ и гриппа, что на 3% выше, чем неделей ранее (13 549 случаев). Госпитализировано 214 человек, что на 26% ниже уровня прошлой недели (292 человек).
Эпидемический порог превышен на 21,28%; наиболее сложная ситуация наблюдается в возрастной группе от 15 и старше - превышение на 51,46%.
В проведении иммунизации задействованы 62 медицинские организации. По оперативным данным на 4 декабря, привито против гриппа 1 379 384 человека, а охват вакцинацией против гриппа населения области составил 57,83%.
Также за неделю диагностирован 251 случай COVID-19, что на 23% ниже, чем на прошлой неделе (259 случаев). За сутки зарегистрировано 46 случая (0,01%).
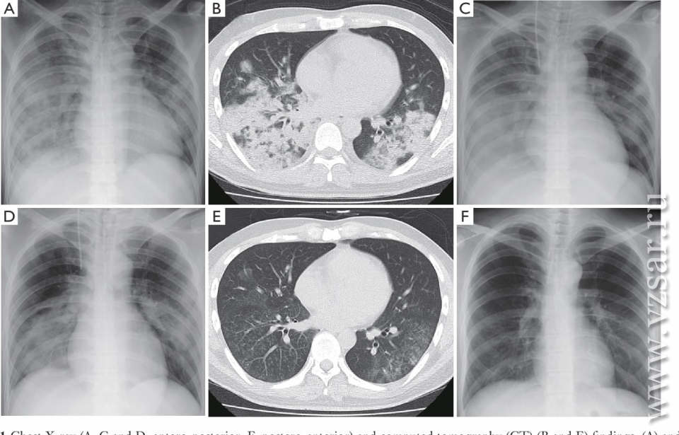
Кроме того, Грайфер сообщил, что в регионе растет количество случаев заболевания микоплазменной пневмонией (разновидность атипичной пневмонии).
"Если раньше она регистрировалась у людей со сниженным иммунитетом, то сейчас этот вид пневмонии фиксируется и у здоровых людей", - констатировал спикер.
Подпишитесь на канал "ИА "Взгляд-инфо". Новости Саратова" в MAX
Подпишитесь на телеграм-канал "ИА "Взгляд-инфо". Вне формата": заходите - будет интересно
Вы можете прислать сообщения, фото и видео в наш телеграм-бот @Vz_feedbot
Рекомендуемые материалы
Главные новости
Стали свидетелем интересного события?
Поделитесь с нами новостью, фото или видео в мессенджерах:
или свяжитесь по телефону или почте






